Công ty TNHH Phát Triển Khoa Học Vitech Hỗ trợ: info@vitechltd.vn Tư vấn: 02437835922
Thông báo của tôi0
Hết hàng

Dịch vụ tổng hợp gen - GeneArt Gene Synthesis and Services

Mã sản phẩm: Đang cập nhật
Hãng sản xuất: Thermo Fisher Scientific
Tags: Sinh học phân tử
alt

CHÚNG TÔI LUÔN SẴN SÀNG GIÚP ĐỠ BẠN

Để được hỗ trợ tốt nhất hãy gọi
02437835922
hoặc
Chat hỗ trợ trực tuyến

MÔ TẢ SẢN PHẨM:

Dịch vụ tổng hợp gen GeneArt™ Gene Synthesis giúp mang lại hiệu quả kinh tế và chất lượng đáng tin cậy trong việc tổng hợp cấu trúc DNA với độ chính xác trình tự 100%.

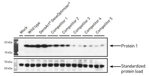
Dịch vụ tổng hợp gen GeneArt™ Gene Synthesis giúp mang lại hiệu quả kinh tế và chất lượng đáng tin cậy trong việc tổng hợp cấu trúc DNA với độ chính xác trình tự 100%. Các thuật toán tối ưu GeneOptimizer của Thermo sử dụng hướng tiếp cận đa yếu tố (lên đến 20 thông số) so với phương pháp tối ưu truyền thống nhằm tăng cường đáng kể sự biểu hiện protein tái tổ hợp.

Thermo cũng trang bị công cụ trực tuyến GeneArt Instant Designer để đặt hàng sản phẩm nhanh chóng và đơn giản. Hiện dịch vụ bao gồm các sản phẩm chính:

GeneArt Strings DNA Fragments: Dịch vụ tổng hợp đoạn DNA mạch đôi dạng thẳng, không tạo dòng có kích thước từ 150 đến 3000 bp. Sản phẩm nhận được ở dạng khô.

GeneArt Gene Synthesis: Dịch vụ tổng hợp trình tự gen muốn mong bằng phương pháp hóa học, tạo dòng và giải trình tự. Sản phẩm nhận được là một ống vi khuẩn và/hoặc plasmid tinh sạch có chứa đoạn gen được tổng hợp, sẵn sàng cho các ứng dụng phía sau.

GeneArt Genes-to-Proteins: giải pháp all-oin-one từ biểu hiện đến tinh sạch protein tái tổ hợp từ các dòng tế bào động vật chỉ với thông tin đầu vào là trình tự nucleic acid mục tiêu của khách hàng cung cấp.

ĐẶC ĐIỂM NỔI BẬT:

GeneArt Strings DNA Fragments:

DNA được tổng hợp từ các oligonucleotide bằng quy trình chất lượng cao, tương tự như dịch vụ GeneArt Gene Synthesis.

Sản phẩm đã hòa trong 10 mM Tris pH 8.5 và được đông khô, sẵn sàng để hòa tan, tạo dòng và sàng lọc.

Tiết kiệm chi phí

Nhanh chóng - thời gian tổng hợp chỉ từ 5 ngày làm việc (tại hãng)

Lượng DNA:  ≥ 200 ng

GeneArt Gene Synthesis:

Quy trình tùy chọn, linh hoạt: tổng hợp chính xác đoạn trình tự bạn cần trong loại vector tùy chọn, kể cả các vector custom và cấu trúc gen phức tạp

Tối đa lượng protein biểu hiện - đoạn trình tự được tối ưu hóa bằng phần mềm GeneOptimizer giúp tăng cường tính ổn định của mRNA và hiệu quả quá trình dịch mã.

Độ chính xác cao: Tất cả các gen tổng hợp đều được giải trình tự dựa theo tiêu chuẩn ISO 9001:2015.

Nhanh chóng - Thời gian tổng hợp chỉ từ 10 ngày làm việc (tại hãng)

Lượng DNA: 5 µg plasmid DNA

GeneArt Genes-to-Proteins:

Tất cả các bước biểu hiện protein tái tổ hợp từ một nguồn duy nhất của Thermo

Quy trình được thực hiện bởi các nhà khoa học có kinh nghiệm trên thế giới

Hệ thống biểu hiện tân tiến và đáng tin cậy (FreeStyle™ 293, CHO, and Expi293™)

Hệ thống gen được nghiên cứu tối ưu hóa biểu hiện

Quy mô biểu hiện từ 30 mL đến 25 L. Lượng protein mục tiêu tùy thuộc vào hệ thống biểu hiện và hiệu quả chuyển nạp

Thời gian thực hiện trong khoảng 30 ngày làm việc (tại hãng)

Protein mục tiêu được kiểm tra bằng các phương pháp nhuộm Coomassie, SDS-PAGE và Western Blot đảm bảo độ đặc hiệu.

THÀNH PHẦN CẤU TẠO:

ỨNG DỤNG:

THÔNG TIN ĐẶT HÀNG:

Sản phẩm nổi bật

Hệ thống máy đọc đĩa đa chức năng Varioskan™ LUX - Varioskan™ LUX multimode microplate reader
Liên hệ
Hệ thống máy Flow Cytometry - Attune CytPix Flow Cytometer
Liên hệ
Hệ thống rửa và xử lý tế bào tự động - CTS™ Rotea™ Counterflow Centrifugation System
Liên hệ
Hệ thống thu nhận hình ảnh tế bào huỳnh quang tự động EVOS™ M7000 Imaging System
Liên hệ
Thiết bị đếm tế bào tự động Countess 3 FL - Countess™ 3 FL Automated Cell Counter
Liên hệ
product